Złamanie kostki kości strzałkowej !!!

Dział dla osób niezwiązanych zawodowo z fizjoterapią.

Moderatorzy: masaztajski, administrator, Truskawa, Piotrek Medic

sokoli82
Posty: 1
Rejestracja: 2016-06-18, 19:32
Lokalizacja: Sieradz

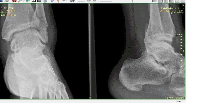
Złamanie kostki kości strzałkowej !!!

Post autor: sokoli82 »

Witam,
Poszukuje opinii specjalistów
Złamałem kostkę kości strzałkowej, wpakowali mnie w gips ... Wygląda mi to na złamanie z przemieszczeniem, ale może mi się tylko wydaje.
Niech mi ktoś powie, czy to dobrze i jak sprawa wygląda z całą linią leczenia takiego złamania.
Załączam zdjęcie RTG.
Załączniki
Złamanie.jpg
Ostatnio zmieniony 2017-01-09, 09:16 przez sokoli82, łącznie zmieniany 1 raz.
ODPOWIEDZ

Wróć do „Pytania do specjalisty dotyczące fizjoterapii”